Thai trứng, hay chửa trứng (hydatidiform mole), là tình trạng bệnh lý của rau thai do sự phát triển bất thường của các nguyên bào nuôi (trophoblast), khiến gai rau bị thoái hóa, phù nề, tạo thành các túi chứa dịch giống chùm nho, lấn át sự phát triển của bào thai. Theo Hiệp hội Sản phụ khoa Hoa Kỳ (ACOG), đây là một dạng của bệnh lý nguyên bào nuôi thai kỳ (Gestational Trophoblastic Disease – GTD), không phải là một thai kỳ bình thường.
Dấu hiệu nhận biết thai trứng thường không điển hình ở giai đoạn sớm nhưng đặc trưng bởi nồng độ hormone hCG tăng cao bất thường, gây nghén nặng, rong huyết và kích thước tử cung lớn hơn so với tuổi thai. Theo Cleveland Clinic, siêu âm là phương pháp chẩn đoán hình ảnh quan trọng nhất, cho thấy hình ảnh “bão tuyết” hoặc “tổ ong” điển hình trong buồng tử cung thay vì cấu trúc thai nhi và nhau thai bình thường.
Thai trứng được phân loại thành hai thể chính: thai trứng toàn phần và thai trứng bán phần, dựa trên cấu trúc nhiễm sắc thể và sự hiện diện của mô thai. Thai trứng toàn phần xảy ra khi một hoặc hai tinh trùng thụ tinh cho một noãn không có nhân, không có mô thai. Ngược lại, thai trứng bán phần xảy ra khi hai tinh trùng thụ tinh cho một noãn bình thường, có thể có một phần mô thai nhưng không thể phát triển.
Chẩn đoán và điều trị thai trứng đòi hỏi sự can thiệp y tế ngay lập tức thông qua phương pháp hút nạo buồng tử cung để loại bỏ hoàn toàn mô trứng, kết hợp với việc theo dõi nồng độ hCG sau thủ thuật để phát hiện sớm các biến chứng nguy hiểm như bệnh nguyên bào nuôi tồn tại hoặc ung thư nguyên bào nuôi. Việc tuân thủ phác đồ theo dõi sau điều trị là yếu tố then chốt để đảm bảo sức khỏe và khả năng sinh sản trong tương lai cho người bệnh.
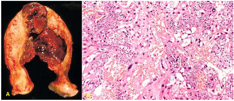
1. Thai trứng là gì?

Ảnh trên: Thai trứng
Thai trứng, định nghĩa y khoa là chửa trứng (hydatidiform mole), là một dạng bệnh lý của nhau thai, đặc trưng bởi sự phát triển bất thường của các tế bào nuôi (nguyên bào nuôi) tại gai nhau. Theo Mayo Clinic (2022), thay vì phát triển thành một nhau thai hoàn chỉnh để nuôi dưỡng bào thai, các gai nhau này lại thoái hóa, phù nề và tạo thành các nang trứng chứa đầy dịch, có hình dạng giống chùm nho. Tình trạng này thuộc nhóm bệnh lý nguyên bào nuôi thai kỳ (Gestational Trophoblastic Disease – GTD).
Sự phát triển của các nang trứng này lấn át hoàn toàn hoặc một phần không gian của buồng tử cung, khiến cho bào thai không thể hình thành hoặc không thể phát triển bình thường.
2. Nguyên nhân nào gây ra thai trứng?
Nguyên nhân trực tiếp gây ra thai trứng là do lỗi trong quá trình thụ tinh, dẫn đến sự bất thường về bộ nhiễm sắc thể (NST). Theo Viện Ung thư Quốc gia Hoa Kỳ (NCI), cơ chế cụ thể được phân chia dựa trên từng loại thai trứng:
– Đối với thai trứng toàn phần: Tình trạng này xảy ra khi một trứng “rỗng” (không chứa vật chất di truyền của mẹ) được thụ tinh bởi một hoặc hai tinh trùng. Kết quả là toàn bộ 46 NST đều có nguồn gốc từ người cha. Do không có NST từ mẹ, phôi thai không thể hình thành, chỉ có mô nhau thai phát triển bất thường.
– Đối với thai trứng bán phần: Tình trạng này xảy ra khi một trứng bình thường được thụ tinh bởi hai tinh trùng khác nhau. Kết quả là phôi thai có đến 69 NST thay vì 46 như bình thường. Phôi thai có thể hình thành nhưng không thể sống và phát triển, kèm theo đó là sự phát triển bất thường của mô nhau thai.

Ảnh trên: Thai trứng bán phần
3. Các dấu hiệu và triệu chứng nhận biết thai trứng?
Các dấu hiệu của thai trứng có thể bị nhầm lẫn với một thai kỳ bình thường ở giai đoạn đầu. Tuy nhiên, theo Hiệp hội Sản phụ khoa Hoa Kỳ (ACOG, 2023), có những triệu chứng đặc trưng sau đây:
– Rong huyết âm đạo trong 3 tháng đầu: Đây là triệu chứng phổ biến nhất, máu có thể màu đỏ tươi hoặc nâu sẫm, kéo dài liên tục hoặc ngắt quãng.
– Nồng độ hCG tăng rất cao: Hormone HCG (human chorionic gonadotropin) tăng cao hơn mức bình thường so với tuổi thai, dẫn đến tình trạng ốm nghén nghiêm trọng (nôn mửa nhiều, liên tục).
– Kích thước tử cung lớn hơn tuổi thai: Khi thăm khám, bác sĩ có thể phát hiện tử cung to bất thường. Ví dụ, tuổi thai là 8 tuần nhưng kích thước tử cung có thể tương đương với thai 12-14 tuần.
– Không nghe thấy tim thai: Khi siêu âm hoặc dùng các thiết bị nghe tim thai, bác sĩ không xác định được nhịp tim của thai nhi.
– Xuất hiện nang hoàng tuyến ở buồng trứng: Do nồng độ hCG quá cao, hai buồng trứng có thể bị kích thích và xuất hiện các nang chức năng (nang hoàng tuyến).
– Các triệu chứng của tiền sản giật sớm: Một số trường hợp có thể xuất hiện triệu chứng của huyết áp cao, protein trong nước tiểu trước tuần thứ 20 của thai kỳ, điều rất hiếm gặp trong một thai kỳ bình thường.

Ảnh trên: Rong huyết âm đạo trong 3 tháng đầu
4. Thai trứng được phân loại như thế nào?
Dựa trên đặc điểm di truyền và mô học, thai trứng được chia thành hai loại chính: thai trứng toàn phần và thai trứng bán phần.
– Tiêu chí so sánh giữa thai trứng toàn phần và thai trứng bán phần?
– So sánh về bộ nhiễm sắc thể
Thai trứng toàn phần có bộ nhiễm sắc thể lưỡng bội (46,XX hoặc 46,XY) nhưng tất cả đều có nguồn gốc từ người cha. Trong khi đó, thai trứng bán phần có bộ nhiễm sắc thể tam bội (thường là 69,XXY hoặc 69,XYY), bao gồm một bộ đơn bội từ mẹ và hai bộ đơn bội từ cha (Bệnh viện Cleveland Clinic, 2022).
– So sánh về sự hiện diện của mô thai
Mô thai và màng ối hoàn toàn không có trong thai trứng toàn phần. Ngược lại, thai trứng bán phần có thể có sự hiện diện của một phần mô thai hoặc phôi thai nhưng không có khả năng phát triển thành thai nhi hoàn chỉnh.
– So sánh về triệu chứng lâm sàng
Các triệu chứng như tử cung to, nồng độ hCG rất cao và nguy cơ tiến triển thành bệnh nguyên bào nuôi tồn tại thường phổ biến và nghiêm trọng hơn ở thai trứng toàn phần. Thai trứng bán phần thường có các biểu hiện lâm sàng kín đáo hơn và dễ bị chẩn đoán nhầm thành sảy thai không hoàn toàn.
5. Các yếu tố nào làm tăng nguy cơ bị thai trứng?

Ảnh trên: Tiền sử sảy thai
Một số yếu tố có thể làm tăng nguy cơ mắc phải thai trứng, bao gồm:
– Tuổi của người mẹ: Theo ACOG (2023), phụ nữ mang thai ở độ tuổi rất trẻ (dưới 20) hoặc lớn tuổi (trên 35-40) có nguy cơ bị thai trứng cao hơn.
– Tiền sử bị thai trứng: Phụ nữ đã có một lần bị thai trứng có nguy cơ tái phát cao hơn khoảng 1-2% so với dân số chung. Nếu đã có hai lần bị thai trứng, nguy cơ này tăng lên đáng kể.
– Tiền sử sảy thai: Một số nghiên cứu chỉ ra mối liên hệ giữa tiền sử sảy thai và nguy cơ chửa trứng.
– Chế độ dinh dưỡng: Chế độ ăn thiếu hụt caroten (một dạng tiền vitamin A) và chất béo động vật được cho là có liên quan đến việc tăng nguy cơ bị thai trứng.
6. Thai trứng được chẩn đoán bằng phương pháp nào?
Việc chẩn đoán thai trứng chủ yếu dựa vào sự kết hợp giữa xét nghiệm nồng độ hCG trong máu và siêu âm.
– Xét nghiệm máu định lượng beta-hCG: Đây là xét nghiệm quan trọng đầu tiên. Kết quả cho thấy nồng độ beta-hCG tăng rất cao, thường trên 100.000 mIU/mL, là một dấu hiệu gợi ý mạnh mẽ đến thai trứng (Bệnh viện Đa khoa Tâm Anh, 2023).
– Siêu âm: Siêu âm là công cụ chẩn đoán hình ảnh quyết định.
Trong thai trứng toàn phần, hình ảnh siêu âm điển hình là “bão tuyết” hoặc “tổ ong” trong buồng tử cung, không có túi ối và phôi thai.
Trong thai trứng bán phần, siêu âm có thể cho thấy một nhau thai dày, nhiều nang nhỏ và sự hiện diện của một phôi thai nhỏ, không phát triển hoặc đã ngừng tim.

Ảnh trên: Siêu âm
7. Thai trứng được điều trị như thế nào?
Phương pháp điều trị tiêu chuẩn và hiệu quả nhất cho thai trứng là hút nạo buồng tử cung để loại bỏ toàn bộ mô trứng bất thường. Thủ thuật này được thực hiện dưới sự hướng dẫn của siêu âm để đảm bảo mô bệnh lý được lấy ra một cách triệt để và an toàn, hạn chế nguy cơ sót nhau hoặc thủng tử cung.
Trong một số trường hợp hiếm gặp, nếu người bệnh đã đủ con và không có mong muốn sinh thêm, hoặc có nguy cơ biến chứng cao, phẫu thuật cắt bỏ tử cung có thể được cân nhắc. Tuy nhiên, phương pháp này ít được áp dụng phổ biến.
Hóa trị dự phòng có thể được chỉ định cho những trường hợp có nguy cơ cao tiến triển thành bệnh nguyên bào nuôi tồn tại hoặc ung thư.
8. Theo dõi sau điều trị thai trứng có quan trọng không?

Ảnh trên: Xét nghiệm định lượng beta-hCG
Việc theo dõi sau điều trị là cực kỳ quan trọng và bắt buộc để đảm bảo mô trứng đã được loại bỏ hoàn toàn và phát hiện sớm các biến chứng nguy hiểm. Theo Bệnh viện Phụ sản Trung ương, phác đồ theo dõi bao gồm:
– Xét nghiệm định lượng beta-hCG: Người bệnh cần được xét nghiệm beta-hCG hàng tuần cho đến khi nồng độ trở về âm tính (< 5 mIU/mL) trong 3 tuần liên tiếp.
– Tiếp tục theo dõi hàng tháng: Sau khi hCG về âm tính, người bệnh cần tiếp tục theo dõi hàng tháng trong ít nhất 6-12 tháng tiếp theo.
– Tránh thai tuyệt đối: Người bệnh được yêu cầu áp dụng các biện pháp tránh thai hiệu quả trong suốt thời gian theo dõi. Việc mang thai trở lại quá sớm có thể gây nhầm lẫn trong việc chẩn đoán tái phát do nồng độ hCG tăng lên.
Quá trình hồi phục sau điều trị không chỉ liên quan đến thể chất mà còn là một hành trình chữa lành về mặt tinh thần. Việc mất đi một thai kỳ, dù là bất thường, vẫn có thể gây ra những cảm xúc đau buồn và mất mát. Việc chia sẻ với người bạn đời, gia đình hoặc chuyên gia tâm lý là rất cần thiết. Song song đó, việc tái kết nối và vun đắp lại sự thân mật với bạn đời khi đã sẵn sàng cũng là một phần quan trọng của quá trình phục hồi. Nếu bạn cảm thấy cần một sự hỗ trợ để khơi dậy lại cảm hứng và sự tự tin, việc tìm đến các sản phẩm hỗ trợ đời sống lứa đôi như dương vật giả tại những nơi uy tín như Quân Tử Nhỏ có thể là một lựa chọn đáng cân nhắc. Đây là shop người lớn uy tín số 1 Việt Nam, đã được hơn 100.000 khách hàng tin tưởng, luôn sẵn sàng tư vấn tận tâm và giao hàng siêu kín đáo, đảm bảo sự riêng tư tuyệt đối cho bạn.

Ảnh trên: Trứng rung không dây Lilo
9. Các biến chứng tiềm ẩn của thai trứng là gì?
Biến chứng nguy hiểm nhất của thai trứng là sự tiến triển thành bệnh nguyên bào nuôi tồn tại (Persistent Gestational Trophoblastic Neoplasia – GTN). Tình trạng này xảy ra khi các tế bào trứng bất thường tiếp tục tồn tại và xâm lấn vào lớp cơ tử cung, thậm chí di căn đến các cơ quan khác như phổi, não, gan. Các dạng của GTN bao gồm:
– Thai trứng xâm lấn: Mô trứng ăn sâu vào lớp cơ của thành tử cung.
– Ung thư nguyên bào nuôi (Choriocarcinoma): Đây là một dạng ung thư ác tính, hiếm gặp nhưng có khả năng di căn nhanh.
May mắn thay, theo Viện Ung thư Quốc gia Hoa Kỳ, ngay cả khi thai trứng tiến triển thành ung thư, bệnh vẫn có tỷ lệ chữa khỏi rất cao nếu được phát hiện sớm và điều trị bằng hóa trị liệu.

Ảnh trên: Ung thư nguyên bào nuôi (Choriocarcinoma)
10. Câu hỏi thường gặp về thai trứng
1. Thai trứng có nguy hiểm không?
Thai trứng là một tình trạng nguy hiểm, nếu không được chẩn đoán và điều trị kịp thời, có thể gây mất máu, nhiễm trùng và tiến triển thành bệnh lý ác tính như ung thư nguyên bào nuôi (Theo Bệnh viện Từ Dũ).
2. Sau hút thai trứng bao lâu thì có thai lại được?
Phụ nữ cần đợi ít nhất 6-12 tháng sau khi nồng độ hCG trở về mức bình thường và hoàn tất quá trình theo dõi mới nên có thai trở lại để đảm bảo an toàn cho lần mang thai kế tiếp (Theo ACOG, 2023).
3. Thai trứng có phải là ung thư không?
Thai trứng là một khối u lành tính của nhau thai, không phải ung thư. Tuy nhiên, nó có một tỷ lệ nhỏ (khoảng 15-20% với thai trứng toàn phần) nguy cơ tiến triển thành ung thư nguyên bào nuôi.
4. Bị thai trứng có giữ được không?
Không thể giữ được thai trứng. Do sự bất thường về nhiễm sắc thể và sự phát triển bệnh lý của nhau thai, phôi thai (nếu có) không thể phát triển thành một em bé khỏe mạnh và cần phải được loại bỏ hoàn toàn.
5. Làm sao để phân biệt thai trứng và thai thường?
Phân biệt dựa vào siêu âm và xét nghiệm nồng độ hCG. Thai trứng có hCG tăng rất cao và hình ảnh siêu âm “bão tuyết”, không có tim thai, trong khi thai thường có hCG tăng phù hợp tuổi thai và hình ảnh túi thai, phôi thai bình thường.

Ảnh trên: Thai trứng và thai thường
6. Thai trứng có tự tiêu được không?
Thai trứng không thể tự tiêu biến. Tình trạng này cần can thiệp y tế bắt buộc bằng phương pháp hút nạo để loại bỏ hoàn toàn mô bệnh lý ra khỏi tử cung, ngăn ngừa các biến chứng nguy hiểm.
7. Sau điều trị thai trứng cần kiêng gì?
Cần kiêng quan hệ tình dục trong vài tuần đầu sau thủ thuật để tử cung lành lại, và quan trọng nhất là phải tránh thai tuyệt đối trong suốt thời gian theo dõi để không ảnh hưởng đến kết quả xét nghiệm hCG.
8. Chi phí điều trị thai trứng có cao không?
Chi phí cho thủ thuật hút nạo ban đầu không quá cao. Tuy nhiên, tổng chi phí có thể tăng lên do quá trình theo dõi định kỳ (xét nghiệm hCG) kéo dài nhiều tháng sau đó, đặc biệt nếu có biến chứng cần hóa trị.
9. Thai trứng có di truyền không?
Thai trứng không được coi là một bệnh di truyền. Đây là một sự cố ngẫu nhiên trong quá trình thụ tinh. Tuy nhiên, một số gia đình hiếm gặp có thể có khuynh hướng di truyền làm tăng nguy cơ tái phát.
10. Nguyên nhân chính gây ra thai trứng là gì?
Nguyên nhân chính là lỗi trong quá trình thụ tinh, dẫn đến bộ nhiễm sắc thể bất thường. Ví dụ, một trứng không nhân được thụ tinh bởi tinh trùng (thai trứng toàn phần) hoặc một trứng bình thường được thụ tinh bởi hai tinh trùng (thai trứng bán phần).

Ảnh trên: Quá trình thụ tinh
11. Kết luận
Thai trứng là một biến chứng sản khoa nghiêm trọng, xuất phát từ sự bất thường trong quá trình thụ tinh. Mặc dù đây là một trải nghiệm gây lo lắng và mất mát về mặt tinh thần cho người phụ nữ, nhưng điều quan trọng cần nhấn mạnh là thai trứng hoàn toàn có thể điều trị thành công.
Việc nhận biết sớm các dấu hiệu, chẩn đoán chính xác và can thiệp kịp thời bằng phương pháp hút nạo là chìa khóa để loại bỏ mô bệnh lý. Tuy nhiên, hành trình chưa dừng lại ở đó. Giai đoạn theo dõi nồng độ hCG sau điều trị đóng vai trò tối quan trọng trong việc ngăn ngừa và phát hiện sớm các biến chứng nguy hiểm như bệnh nguyên bào nuôi tồn tại.
Thông điệp cuối cùng dành cho những ai không may gặp phải tình trạng này là hãy tuân thủ nghiêm ngặt phác đồ điều trị và theo dõi của bác sĩ, đồng thời cho phép bản thân có thời gian để chữa lành cả về thể chất lẫn tinh thần. Với sự tiến bộ của y học hiện đại, đại đa số phụ nữ sau khi điều trị khỏi hoàn toàn vẫn có thể có những thai kỳ khỏe mạnh trong tương lai.
