Thai 5 Tuần Chưa Có Phôi: Thông Tin Y Khoa, Nguyên Nhân, Dấu Hiệu và Hướng Xử Lý

Thai 5 tuần chưa có phôi là một chẩn đoán y khoa qua siêu âm, mô tả tình trạng túi thai đã hình thành bên trong tử cung nhưng chưa quan sát thấy cấu trúc của phôi thai. Đây là một kết quả cần được theo dõi y tế chặt chẽ để xác định chính xác sự phát triển của thai kỳ (Theo Bệnh viện Đa khoa Quốc tế Vinmec).

Tình trạng này thường được phát hiện qua siêu âm đầu dò âm đạo, với hình ảnh điển hình là một túi thai (gestational sac) có thể kèm hoặc không kèm túi noãn hoàng (yolk sac). Sự vắng mặt của phôi ở thời điểm này chưa thể kết luận ngay lập tức về tình trạng thai kỳ, bởi phôi thai có thể xuất hiện muộn hơn.

Nguyên nhân của việc thai 5 tuần chưa thấy phôi rất đa dạng, phổ biến nhất là do tính toán sai tuổi thai (do rụng trứng muộn). Tuy nhiên, đây cũng có thể là một dấu hiệu sớm của thai kỳ không phát triển, chẳng hạn như thai trống (blighted ovum) hoặc sảy thai sớm (Theo Hiệp hội Sản phụ khoa Hoa Kỳ – ACOG).

Hướng xử lý tiêu chuẩn cho tình trạng này không phải là can thiệp ngay, mà là theo dõi cẩn thận. Bác sĩ thường chỉ định xét nghiệm nồng độ Beta-hCG lặp lại và hẹn siêu âm lại sau 7-14 ngày để đánh giá sự tiến triển của túi thai và sự xuất hiện của phôi.

Mục Lục

1. Thai 5 Tuần Chưa Có Phôi Là Gì?

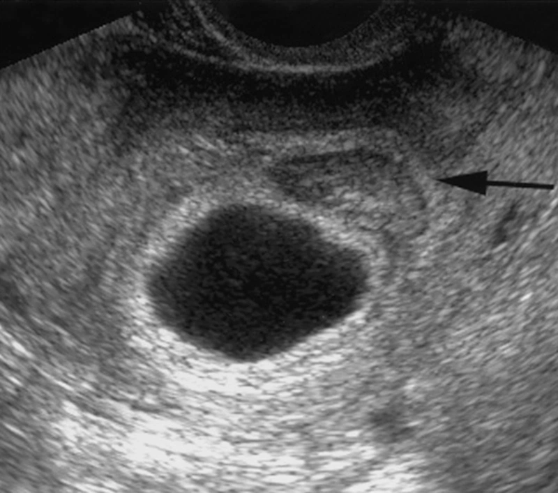
Thai 5 Tuần Chưa Có Phôi

Ảnh trên: Thai 5 Tuần Chưa Có Phôi

Thai 5 tuần chưa có phôi là một thuật ngữ y khoa mô tả kết quả siêu âm cho thấy túi thai (gestational sac) đã hiện diện trong buồng tử cung nhưng chưa ghi nhận được hình ảnh phôi thai (embryo) bên trong. Đây là một tình trạng tương đối phổ biến trong giai đoạn đầu của thai kỳ và cần được đánh giá cẩn thận.

Theo Hiệp hội Sản phụ khoa Hoa Kỳ (ACOG), tuổi thai 5 tuần được tính từ ngày đầu tiên của kỳ kinh cuối cùng. Ở thời điểm này, phôi thai, nếu phát triển bình thường, chỉ mới bắt đầu hình thành và có kích thước rất nhỏ, thường chỉ vài milimet. Do đó, việc quan sát phôi thai phụ thuộc rất nhiều vào độ phân giải của máy siêu âm và thời điểm thụ thai chính xác.

Tiêu chuẩn chẩn đoán thai 5 tuần trên siêu âm

Ở tuần thứ 5, siêu âm (thường là siêu âm đầu dò âm đạo) có thể phát hiện các cấu trúc sau:

– Túi thai (Gestational Sac): Đây là cấu trúc đầu tiên có thể nhìn thấy, xuất hiện dưới dạng một vòng tròn nhỏ, rỗng, màu đen bên trong nội mạc tử cung.

– Túi noãn hoàng (Yolk Sac): Thường xuất hiện sau túi thai, là một vòng tròn nhỏ, sáng bên trong túi thai, có vai trò cung cấp dinh dưỡng ban đầu cho phôi. Sự hiện diện của túi noãn hoàng thường là một dấu hiệu tích cực, xác nhận đây là một túi thai thật.

Việc chưa thấy phôi ở tuần thứ 5 có thể nằm trong giới hạn bình thường, đặc biệt khi phôi còn quá nhỏ hoặc chưa phát triển đến mức có thể quan sát được.

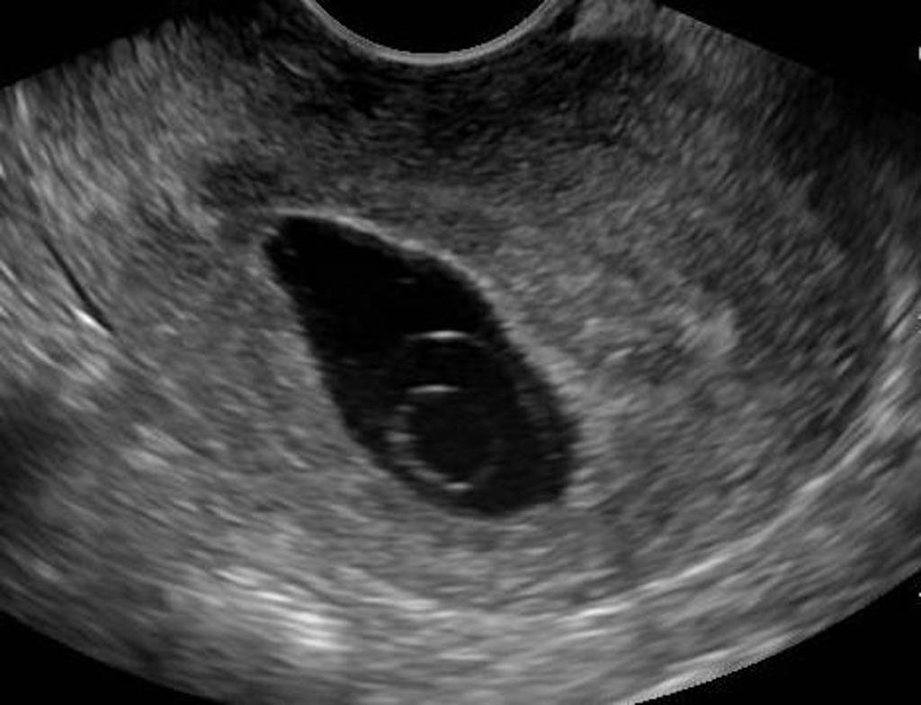
Kích thước túi thai

Ảnh trên: Túi thai

Phân biệt túi thai thật và túi thai giả

Trong một số trường hợp, bác sĩ cần phân biệt giữa túi thai thật và “túi thai giả” (pseudosac).

– Túi thai thật: Nằm lệch tâm bên trong nội mạc tử cung và được bao quanh bởi một viền tăng âm dày (phản ứng màng rụng).

– Túi thai giả: Là sự tích tụ dịch bên trong buồng tử cung, thường nằm ở giữa và không có viền tăng âm rõ rệt. Túi thai giả có thể là một dấu hiệu của thai ngoài tử cung.

Việc chẩn đoán chính xác tình trạng “chưa có phôi” đòi hỏi bác sĩ phải xác nhận sự hiện diện của túi thai thật trong tử cung trước khi đưa ra kết luận.

Tiếp theo, chúng ta sẽ phân tích liệu tình trạng này có phải là bất thường và các nguyên nhân có thể dẫn đến kết quả siêu âm này.

2. Thai 5 Tuần Chưa Thấy Phôi Có Phải Tình Trạng Bất Thường Không?

Kết luận thai 5 tuần chưa thấy phôi có bất thường hay không phụ thuộc vào nhiều yếu tố, bao gồm tuổi thai chính xác, nồng độ Beta-hCG và kết quả siêu âm lặp lại. Bản thân kết quả này tại tuần thứ 5 thường được xem là chưa xác định (indeterminate) hơn là bất thường.

Các bác sĩ sản khoa thường xem xét hai khả năng chính khi gặp tình trạng này, được phân tích chi tiết dưới đây.

Trường hợp 1: Tính tuổi thai chưa chính xác (Bình thường)

 

tuổi thai

Ảnh trên: Tính tuổi thai chưa chính xác

Đây là nguyên nhân phổ biến và lạc quan nhất. Tuổi thai thường được tính dựa trên ngày đầu tiên của kỳ kinh cuối (LMP). Tuy nhiên, phương pháp này chỉ chính xác nếu người phụ nữ có chu kỳ kinh đều 28 ngày và rụng trứng vào ngày thứ 14.

Nhiều phụ nữ có chu kỳ kinh không đều hoặc ngày rụng trứng xảy ra muộn hơn. Nếu thụ thai diễn ra muộn, tuổi thai thực tế có thể nhỏ hơn tuổi thai tính theo LMP. Ví dụ, tuổi thai tính là 5 tuần nhưng tuổi thai thực tế (tính từ ngày thụ thai) có thể chỉ mới 4 tuần hoặc 4 tuần 3 ngày, lúc này phôi thai còn quá nhỏ để thấy trên siêu âm. Trong trường hợp này, thai kỳ vẫn đang phát triển bình thường.

Trường hợp 2: Dấu hiệu của thai kỳ không phát triển (Bất thường)

Kết quả siêu âm này cũng có thể là một dấu hiệu sớm của một thai kỳ không thể tiếp tục phát triển. Các chẩn đoán bất thường có thể bao gồm:

– Thai trống (Blighted Ovum): Đây là tình trạng trứng đã thụ tinh, làm tổ trong tử cung và phát triển thành túi thai, nhưng phôi thai không phát triển. Túi thai tiếp tục lớn lên, nhau thai vẫn hình thành và tiết ra hormone hCG (gây ra các dấu hiệu mang thai), nhưng bên trong hoàn toàn không có phôi.

– Sảy thai sớm (Early Miscarriage): Phôi thai có thể đã hình thành nhưng ngừng phát triển từ rất sớm và đã bị thoái triển (tiêu biến) trước thời điểm siêu âm.

Để phân biệt giữa hai trường hợp này, việc theo dõi động lực của nồng độ Beta-hCG và siêu âm lặp lại là bắt buộc, như sẽ được đề cập ở các phần sau.

Gây sảy thai

Ảnh trên: Sảy thai sớm

3. Nguyên Nhân Khiến Thai 5 Tuần Tuổi Chưa Có Phôi Thai

Việc xác định nguyên nhân vì sao siêu âm thai 5 tuần chưa ghi nhận phôi thai là rất quan trọng để có hướng theo dõi và xử lý phù hợp. Dưới đây là các nguyên nhân y khoa phổ biến.

Rụng trứng muộn và tính sai tuổi thai

Đây là nguyên nhân phổ biến nhất và lành tính nhất. Tuổi thai (GA) thường được ước tính dựa trên kỳ kinh cuối. Tuy nhiên, thời điểm rụng trứng (ovulation) mới quyết định thời điểm thụ thai. Nếu rụng trứng xảy ra muộn, ví dụ vào ngày 20-25 của chu kỳ (thay vì ngày 14), thai kỳ thực tế sẽ “trẻ” hơn so với tính toán.

– Ví dụ: Tính theo LMP là 5 tuần 0 ngày.

– Thực tế (do rụng trứng muộn): Thai có thể chỉ mới 4 tuần 2 ngày.

– Kết quả: Ở 4 tuần 2 ngày, việc chỉ thấy túi thai mà chưa thấy phôi là hoàn toàn bình thường.

Thai trống (Blighted Ovum)

Blighted Ovum

Ảnh trên: Thai trống (Blighted Ovum)

Thai trống, hay còn gọi là mang thai không phôi, xảy ra khi trứng đã thụ tinh làm tổ trong tử cung nhưng không phát triển thành phôi thai. Mặc dù phôi không tồn tại, túi thai và nhau thai vẫn có thể phát triển trong một thời gian ngắn, gây ra các triệu chứng mang thai và kết quả thử thai dương tính do nồng độ hCG tăng.

Trên siêu âm, bác sĩ sẽ thấy túi thai phát triển nhưng bên trong rỗng, không có túi noãn hoàng hoặc phôi thai. Túi thai có thể tiếp tục lớn lên, nhưng khi đạt đến một kích thước nhất định (thường là >25mm theo tiêu chuẩn ACOG) mà vẫn không có phôi, chẩn đoán thai trống sẽ được xác định.

Sảy thai sớm (Early Miscarriage)

Sảy thai sớm là tình trạng thai kỳ kết thúc trước 13 tuần. Trong trường hợp này, phôi thai có thể đã hình thành ban đầu nhưng ngừng phát triển (thai lưu) và sau đó bị cơ thể hấp thụ hoặc thoái triển.

Khi siêu âm ở tuần thứ 5, bác sĩ có thể chỉ thấy một túi thai trống hoặc một túi thai có hình dạng bất thường, méo mó, bờ không đều, là dấu hiệu của một thai kỳ đã thất bại.

Vấn đề di truyền hoặc nhiễm sắc thể

Đây là nguyên nhân hàng đầu gây ra thai trống và sảy thai sớm trong tam cá nguyệt đầu tiên. Ước tính có hơn 60% các trường hợp sảy thai sớm là do bất thường về số lượng hoặc cấu trúc nhiễm sắc thể (NST) của phôi.

Những bất thường này xảy ra ngẫu nhiên trong quá trình phân chia tế bào của trứng hoặc tinh trùng, dẫn đến một phôi thai “lỗi” không có khả năng phát triển. Cơ thể nhận diện được điều này và tự động chấm dứt thai kỳ.

Thai ngoài tử cung (Ectopic Pregnancy)

Mang Thai Ngoài Tử Cung

Ảnh trên: Thai ngoài tử cung

Mặc dù hiếm gặp hơn, thai ngoài tử cung là một tình trạng cấp cứu y tế. Trong một số trường hợp, nồng độ hCG tăng nhưng siêu âm không thấy túi thai trong buồng tử cung. Thay vào đó, bác sĩ có thể thấy một “túi thai giả” (dịch trong lòng tử cung).

Nếu hCG tăng mà không thấy túi thai trong tử cung, bác sĩ sẽ nghi ngờ thai ngoài tử cung (thường là ở vòi trứng) và cần các biện pháp chẩn đoán và can thiệp ngay lập tức.

4. Dấu Hiệu Nhận Biết Kèm Theo Khi Thai 5 Tuần Chưa Có Phôi

Kết quả siêu âm là dấu hiệu chính, nhưng các chỉ số và triệu chứng lâm sàng khác cũng cung cấp thông tin quan trọng để bác sĩ đánh giá tình trạng thai kỳ.

Kết quả siêu âm: Chỉ thấy túi ối (Gestational Sac)

Hình ảnh siêu âm chỉ ghi nhận một túi ối trống, chưa có túi noãn hoàng (yolk sac) và chưa có phôi thai.

Nếu túi ối có kích thước nhỏ (ví dụ, dưới 10mm), đây có thể là dấu hiệu thai còn quá sớm. Tuy nhiên, nếu túi ối có kích thước lớn (ví dụ, 10mm, 15mm hoặc hơn) mà vẫn chưa có phôi, đây là dấu hiệu cần theo dõi sát. Theo Bệnh viện Đa khoa Quốc tế Vinmec, túi thai 10mm tương đương thai 5-6 tuần, và việc chưa có phôi ở thời điểm này vẫn cần được theo dõi thêm.

Kết quả siêu âm: Thấy túi noãn hoàng nhưng không có phôi

Hình ảnh siêu âm ghi nhận túi ối và túi noãn hoàng (yolk sac) nhưng vẫn chưa thấy phôi thai.

Đây thường được xem là một dấu hiệu tích cực hơn so với việc chỉ thấy túi ối trống. Sự xuất hiện của túi noãn hoàng xác nhận đây là một thai kỳ thật sự trong tử cung (loại trừ túi thai giả) và thai đang phát triển đến giai đoạn tiếp theo. Tuy nhiên, vẫn cần siêu âm lặp lại để xác nhận phôi thai và tim thai sẽ xuất hiện sau đó.

Nồng độ Beta-hCG tăng chậm hoặc giảm

beta-hCG

Ảnh trên: Beta-hCG

Nồng độ Beta-hCG (một loại hormone thai kỳ) là chỉ số quan trọng để đánh giá sức khỏe thai sớm.

Thai kỳ phát triển bình thường: Nồng độ Beta-hCG thường tăng gấp đôi (hoặc ít nhất tăng 60-70%) sau mỗi 48-72 giờ.

– Thai kỳ không phát triển: Nồng độ Beta-hCG có thể tăng chậm, đi ngang (không tăng) hoặc bắt đầu giảm.

Bác sĩ sẽ yêu cầu xét nghiệm hCG lặp lại cách 2-3 ngày, nếu kết quả siêu âm 5 tuần chưa có phôi.

Các triệu chứng lâm sàng (ra máu, đau bụng)

Các triệu chứng cơ năng cũng rất quan trọng:

– Ra máu âm đạo: Ra máu (từ màu hồng nhạt, nâu đến đỏ tươi) kèm theo đau bụng dưới là dấu hiệu cảnh báo sảy thai hoặc thai ngoài tử cung.

– Đau bụng dưới: Đau âm ỉ hoặc đau quặn từng cơn ở vùng bụng dưới cần được báo cáo ngay cho bác sĩ.

– Giảm triệu chứng ốm nghén: Việc đột ngột mất các dấu hiệu mang thai như căng ngực, buồn nôn cũng có thể là một dấu hiệu (dù không chắc chắn) cho thấy thai kỳ đang có vấn đề.

Nếu siêu âm chưa thấy phôi mà không kèm theo các triệu chứng này, tiên lượng thường sẽ tốt hơn.

quan hệ bằng tay chảy máu

Ảnh trên: Ra máu âm đạo

5. Cần Làm Gì Khi Siêu Âm Thai 5 Tuần Chưa Thấy Phôi?

Điều quan trọng nhất là giữ bình tĩnh và tuân thủ chặt chẽ theo hướng dẫn y tế của bác sĩ chuyên khoa. Việc vội vàng kết luận hoặc can thiệp ở giai đoạn này là không phù hợp.

Các bước theo dõi y tế tiêu chuẩn bao gồm:

Theo dõi nồng độ Beta-hCG

Bác sĩ sẽ chỉ định xét nghiệm máu để đo nồng độ Beta-hCG và lặp lại xét nghiệm này sau 48-72 giờ.

Đây là cách khách quan nhất để đánh giá sự phát triển của thai kỳ khi siêu âm chưa rõ ràng.

– Nếu hCG tăng gấp đôi: Đây là dấu hiệu rất tích cực, cho thấy thai đang phát triển. Rất có thể thai còn quá nhỏ và sẽ thấy phôi ở lần siêu âm sau.

– Nếu hCG tăng chậm hoặc giảm: Đây là dấu hiệu cho thấy thai kỳ có khả năng không phát triển hoặc là thai ngoài tử cung, đòi hỏi các bước chẩn đoán sâu hơn.

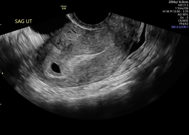
Siêu âm lặp lại sau 7-14 ngày

sieu am thai 1

Ảnh trên: Siêu âm

Đây là chỉ định bắt buộc và quan trọng nhất. Bác sĩ sẽ hẹn tái khám để siêu âm lại sau khoảng 1 đến 2 tuần.

Khoảng thời gian này đủ để thai kỳ phát triển (nếu là thai bình thường) đến mức có thể quan sát rõ ràng phôi thai và tim thai. Tại lần siêu âm sau, bác sĩ sẽ đánh giá sự thay đổi kích thước của túi thai và sự xuất hiện của phôi/tim thai.

Duy trì tâm lý ổn định và chế độ dinh dưỡng

Tâm lý lo lắng, căng thẳng (stress) không tốt cho thai kỳ. Mặc dù kết quả chưa rõ ràng, sản phụ cần cố gắng giữ tinh thần thoải mái, nghỉ ngơi hợp lý.

– Nghỉ ngơi: Hạn chế các hoạt động mạnh, mang vác nặng hoặc di chuyển nhiều.

– Dinh dưỡng: Tiếp tục bổ sung axit folic và các dưỡng chất cần thiết cho bà bầu (sắt, canxi) như một thai kỳ bình thường. Ăn uống lành mạnh, đủ chất, uống đủ nước.

– Kiêng cữ: Tránh sử dụng các chất kích thích như rượu, bia, thuốc lá.

Rượu, bia, thuốc lá trong cuộc sống hiện đại

Ảnh trên: Tránh sử dụng các chất kích thích như rượu, bia, thuốc lá.

6. So Sánh: Thai 5 Tuần Có Phôi và Chưa Có Phôi

Để hiểu rõ hơn, chúng ta có thể so sánh các chỉ số của một thai kỳ 5 tuần điển hình (đã thấy phôi) và trường hợp 5 tuần chưa thấy phôi.

Về chỉ số Beta-hCG

– Thai 5 tuần (chưa thấy phôi): Nồng độ Beta-hCG ở tuần thứ 5 có khoảng dao động rất rộng, từ 18 đến 7.340 mIU/mL (Theo Nhà thuốc Long Châu). Nếu hCG ở mức thấp trong khoảng này (ví dụ 1000-2000 mIU/mL), việc chưa thấy phôi là điều có thể hiểu được.

– Thai 5 tuần (đã thấy phôi): Thường nồng độ hCG đã vượt qua ngưỡng 2000 mIU/mL, và có thể lên đến 5000-7000 mIU/mL. Phôi thai thường bắt đầu thấy được qua siêu âm đầu dò âm đạo khi nồng độ hCG đạt khoảng 1500-2000 mIU/mL.

Về hình ảnh siêu âm

– Thai 5 tuần (chưa thấy phôi): Siêu âm chỉ ghi nhận túi ối, có thể kèm túi noãn hoàng.

– Thai 5 tuần (đã thấy phôi): Nếu tuổi thai chính xác là 5 tuần 3-5 ngày, bác sĩ có thể thấy một cấu trúc phôi nhỏ (embryo pole) nằm cạnh túi noãn hoàng. Tim thai cũng có thể bắt đầu xuất hiện dưới dạng nhấp nháy từ cuối tuần thứ 5 hoặc đầu tuần thứ 6.

hình ảnh siêu âm

Ảnh trên: Hình ảnh siêu âm

Về tiên lượng thai kỳ

– Thai 5 tuần (chưa thấy phôi): Tiên lượng chưa xác định. Cần theo dõi thêm để loại trừ khả năng tính sai tuổi thai.

– Thai 5 tuần (đã thấy phôi): Tiên lượng tốt hơn, xác nhận thai đang phát triển đúng giai đoạn. Bước tiếp theo là theo dõi tim thai.

7. Các Phương Pháp Hỗ Trợ Khi Thai Kỳ Không Phát Triển

Trong trường hợp sau khi theo dõi (xét nghiệm hCG giảm, siêu âm lặp lại vẫn không thấy phôi và túi thai bắt đầu thoái triển), bác sĩ xác định đây là một thai kỳ không phát triển (thai trống hoặc sảy thai sớm), các phương pháp can thiệp y tế sau có thể được chỉ định.

Chờ đợi sảy thai tự nhiên

Cơ thể có thể tự nhận biết thai kỳ đã hỏng và tự đào thải túi thai ra ngoài (sảy thai tự nhiên). Bác sĩ có thể tư vấn cho bệnh nhân chờ đợi trong một khoảng thời gian (vài ngày đến vài tuần) để quá trình này diễn ra.

Quá trình này giống như một kỳ kinh nguyệt nhưng có thể nặng hơn, đau bụng nhiều hơn và ra máu cục. Bệnh nhân cần được theo dõi để đảm bảo sảy thai hoàn toàn và không bị sót thai, sót nhau.

Sử dụng thuốc để thúc đẩy sảy thai

Misoprostol

Ảnh trên: Misoprostol

Bác sĩ có thể kê đơn thuốc (như Misoprostol) để làm mềm cổ tử cung và gây co bóp tử cung, giúp tống xuất mô thai ra ngoài.

Phương pháp này thường hiệu quả, ít xâm lấn hơn phẫu thuật và giúp chủ động về thời gian hơn là chờ đợi tự nhiên. Bệnh nhân sẽ dùng thuốc và theo dõi tại nhà hoặc tại cơ sở y tế.

Can thiệp ngoại khoa (hút thai, nạo thai)

Đây là thủ thuật sử dụng các dụng cụ y tế để hút hoặc nạo mô thai ra khỏi buồng tử cung.

Phương pháp này được chỉ định khi bệnh nhân ra máu nhiều, có dấu hiệu nhiễm trùng, hoặc khi phương pháp dùng thuốc thất bại, hoặc bệnh nhân muốn giải quyết nhanh chóng. Đây là một thủ thuật an toàn, nhanh gọn khi được thực hiện tại các cơ sở y tế uy tín.

8. Duy Trì Sức Khỏe Tinh Thần và Thể Chất Sau Trải Nghiệm Khó Khăn

Việc theo dõi một thai kỳ không chắc chắn, hoặc trải qua sảy thai sớm, là một trải nghiệm cực kỳ căng thẳng về mặt tâm lý và thể chất. Chăm sóc bản thân trong giai đoạn này là vô cùng quan trọng.

Quá trình hồi phục cần sự cân bằng giữa nghỉ ngơi thể chất và ổn định tinh thần. Việc chia sẻ cảm xúc với bạn đời, gia đình hoặc chuyên gia tâm lý có thể giúp giải tỏa áp lực.

Bên cạnh đó, việc kết nối lại với bạn đời và chăm sóc sức khỏe tình dục an toàn khi đã sẵn sàng cũng là một phần quan trọng của quá trình hồi phục. Nếu bạn đang tìm kiếm các sản phẩm hỗ trợ để hâm nóng tình cảm hoặc khám phá sự thân mật một cách an toàn, điều quan trọng là chọn những địa chỉ đáng tin cậy. Một lựa chọn được nhiều khách hàng đánh giá cao là tại shop người lớn uy tín số 1 Việt Nam – Quân Tử Nhỏ. Với hơn 100.000 khách hàng đã tin tưởng, shop cam kết tư vấn tận tâm về các sản phẩm như dương vật giả và các sản phẩm khác, đồng thời đảm bảo giao hàng siêu kín đáo, bảo vệ tuyệt đối sự riêng tư của bạn.

dương vật giả shop sinh lý quân tử nhỏ

Ảnh trên: Dương vật giả shop sinh lý quân tử nhỏ

9. Câu Hỏi Thường Gặp Về Tình Trạng Thai 5 Tuần Chưa Có Phôi

1. Thai 5 tuần chỉ có túi noãn hoàng (yolksac) chưa có phôi có sao không?

Sự hiện diện của túi noãn hoàng là một dấu hiệu tích cực, xác nhận đây là túi thai thật trong tử cung. Việc chưa thấy phôi ở tuần thứ 5 khi đã có túi noãn hoàng vẫn có thể do thai còn quá nhỏ. Bác sĩ sẽ yêu cầu siêu âm lặp lại sau 1-2 tuần.

2. Thai 5 tuần chưa có túi noãn hoàng lẫn phôi có đáng lo không?

Tình trạng này cần được theo dõi sát hơn, vì túi noãn hoàng thường xuất hiện trước phôi thai. Nguyên nhân có thể do thai còn quá sớm (dưới 5 tuần) hoặc là dấu hiệu của thai trống. Xét nghiệm Beta-hCG và siêu âm lặp lại là bắt buộc để chẩn đoán.

3. Chỉ số Beta-hCG thai 5 tuần chưa có phôi thường là bao nhiêu?

Nồng độ Beta-hCG ở tuần thứ 5 có khoảng dao động rất rộng, từ 18 đến 7.340 mIU/mL. Không có một con số cố định. Quan trọng nhất là tốc độ tăng của hCG (thường gấp đôi sau 48-72 giờ) chứ không phải chỉ số tuyệt đối tại một thời điểm.

4. Thai 5 tuần siêu âm bụng có thấy không?

Siêu âm bụng ở tuần thứ 5 thường rất khó để quan sát thấy túi thai, trừ khi máy siêu âm có độ phân giải rất cao. Siêu âm đầu dò âm đạo là phương pháp chính xác và tiêu chuẩn để đánh giá thai kỳ ở giai đoạn sớm này, vì nó cho hình ảnh rõ nét hơn.

Siêu âm bơm nước buồng tử cung

Ảnh trên:Siêu âm dò đầu

Siêu âm bụng ở tuần thứ 5 thường rất khó để quan sát thấy túi thai, trừ khi máy siêu âm có độ phân giải rất cao. Siêu âm đầu dò âm đạo là phương pháp chính xác và tiêu chuẩn để đánh giá thai kỳ ở giai đoạn sớm này, vì nó cho hình ảnh rõ nét hơn.

Siêu âm bụng ở tuần thứ 5 thường rất khó để quan sát thấy túi thai, trừ khi máy siêu âm có độ phân giải rất cao. Siêu âm đầu dò âm đạo là phương pháp chính xác và tiêu chuẩn để đánh giá thai kỳ ở giai đoạn sớm này, vì nó cho hình ảnh rõ nét hơn.

Siêu âm bụng ở tuần thứ 5 thường rất khó để quan sát thấy túi thai, trừ khi máy siêu âm có độ phân giải rất cao. Siêu âm đầu dò âm đạo là phương pháp chính xác và tiêu chuẩn để đánh giá thai kỳ ở giai đoạn sớm này, vì nó cho hình ảnh rõ nét hơn.

5. Thai 5 tuần chưa có tim thai có nguy hiểm không?

Việc thai 5 tuần chưa có tim thai là hoàn toàn bình thường. Tim thai thường bắt đầu hình thành và có thể quan sát được qua siêu âm vào khoảng tuần thứ 6 đến tuần thứ 7 của thai kỳ. Bác sĩ sẽ kiểm tra tim thai ở lần siêu âm lặp lại.

6. Túi thai 10mm chưa có phôi thai có sao không?

Một túi thai có kích thước 10mm tương đương với tuổi thai khoảng 5-6 tuần. Theo Bệnh viện Đa khoa Quốc tế Vinmec, việc chưa có phôi ở kích thước này vẫn nằm trong diện cần theo dõi thêm và chưa thể kết luận bất thường ngay lập tức. Bác sĩ sẽ hẹn siêu âm lặp lại.

7. Thai 5 tuần chưa có phôi có phải là thai trống (blighted ovum) không?

Đây có thể là một dấu hiệu sớm của thai trống, nhưng không thể khẳng định ở tuần thứ 5. Chẩn đoán thai trống chỉ được xác định khi túi thai phát triển đến một kích thước nhất định (thường là 25mm) mà vẫn không có phôi, hoặc qua theo dõi lặp lại thấy túi thai tiếp tục lớn nhưng phôi không xuất hiện.

8. Thai 5 tuần chưa có phôi nên ăn gì?

Bạn nên duy trì chế độ ăn uống lành mạnh, cân bằng như một thai kỳ bình thường. Đặc biệt, cần tiếp tục bổ sung axit folic (vitamin B9) để ngăn ngừa dị tật ống thần kinh. Ngoài ra, cần bổ sung đủ sắt, canxi, protein và chất xơ từ rau xanh, hoa quả, thịt, cá, trứng, sữa.

vitamin B9

Ảnh trên: Thực phẩm giàu vitamin B9

9. Bao lâu thì phôi thai phát triển và thấy được trên siêu âm?

Phôi thai bắt đầu hình thành từ tuần thứ 5 (tính từ ngày thụ tinh, tương đương 7 tuần LMP) nhưng có thể thấy sớm hơn. Thông thường, phôi thai và tim thai có thể được quan sát rõ ràng qua siêu âm đầu dò âm đạo vào khoảng 6 đến 7 tuần tuổi (tính theo LMP).

10. Siêu âm 5 tuần chưa thấy phôi, lần sau khám lại cách bao lâu?

Thời gian hẹn siêu âm lặp lại tiêu chuẩn là từ 7 đến 14 ngày. Khoảng thời gian này đủ để thai kỳ (nếu phát triển bình thường) lớn đến mức có thể quan sát rõ ràng phôi thai và hoạt động của tim thai, giúp bác sĩ đưa ra chẩn đoán chính xác.

10. Kết Luận

Tóm lại, thai 5 tuần chưa có phôi là một kết quả siêu âm phổ biến trong giai đoạn đầu thai kỳ và chưa thể đưa ra kết luận cuối cùng ngay lập tức. Nguyên nhân phổ biến nhất là do tính toán tuổi thai chưa chính xác do rụng trứng muộn, trong trường hợp này thai kỳ vẫn phát triển hoàn toàn bình thường.

Tuy nhiên, đây cũng có thể là một dấu hiệu sớm của các vấn đề như thai trống hoặc sảy thai sớm, thường liên quan đến các bất thường về nhiễm sắc thể.

Điều quan trọng nhất khi nhận được kết quả này là giữ bình tĩnh, tránh căng thẳng quá mức và tuân thủ tuyệt đối chỉ định y khoa. Việc theo dõi động lực của nồng độ Beta-hCG và siêu âm lặp lại sau 7-14 ngày là các bước bắt buộc để có chẩn đoán chính xác nhất về sự phát triển của thai kỳ.

Để lại một bình luận

Email của bạn sẽ không được hiển thị công khai. Các trường bắt buộc được đánh dấu *